Implantologia tutta in un giorno in Abruzzo
Entri alle 9.00 esci alle 17.00
Guarda le video testimonianze post operatorie dei nostri pazienti
Implantologia in un giorno con poco osso
Implantologia ieri e oggi
L’implantologia dentale è una ben nota metodica chirurgica per la riabilitazione funzionale del paziente affetto da edentulismo totale o parziale. Si effettua Mediante l’utilizzo di impianti metallici e non, nell’osso mascellare o mandibolare, per permettere la connessione e il sostegno di protesi fisse e mobili.
La metodica più diffusa tesa a rendere più controllabile il successo dell’intervento implantologico usata fin dagli anna 70’ è quella del ricercatore svedese Prof. P. I. Branemark
chirurgo ortopedico e ricercatore svedese, è grazie a lui che viene coniato il termine osteointegrazione (stretto legame superficie impianto-osso).
Nei primi anni ’60 Branemark scopre, casualmente durante un esperimento, che il titanio è un metallo in grado di consentire un legame molto stabile con l’osso con il vantaggio di essere del tutto biocompatibile (esente cioè da fenomeni di rigetto).
Prof. P.I Branemark
Il prof. Branemark e i suoi collaboratori definirono questo stretto legame tra osso e titanio osteointegrazione e stabilirono dei parametri che prevedevano un’attesa di 3-4 mesi nella mandibola e 5-6 nell’osso mascellare superiore prima di utilizzare gli impianti dentali a fini protesici (cioè prima di potere avvitare sopra delle corone protesiche).
Questo lasso di tempo era considerato indispensabile per consentire all’impianto di osteointegrarsi nell’osso. In quegli anni il timore era che, nelle prime fasi di guarigione, le potenti forze masticatorie potessero creare instabilità (micromobilità) degli impianti dentali inseriti, compromettendo il processo di osteointegrazione.
Nei primi anni ’90 alcuni ricercatori e clinici esperti in implantologia dentale si accorsero che non era sempre necessario attendere i tempi suggeriti dal Prof. Branemark ( dai 3 ai 6 mesi ) per il processo di osteointegrazione. Essi, in sostanza, affermavano che, garantendo da subito una buona Stabilità primaria sarebbe stato possibile protesizzare un impianto (cioè avvitare su di esso una corona protesica) già a pochi giorni dal suo inserimento nell’osso: la guarigione dei tessuti ossei e l’osteointegrazione non ne sarebbero state pregiudicate. Si aprono così le porte all’implantologia a carico immediato.
Es. Caso Clinico eseguito con la vecchia metodica (con metodica Branemark in 3 tempi chirurgici ormai obsoleta) effettuato dal dott. Marco Parravano nell’anno 1999.
Estrazioni di tutti i denti dell’arcata fig.1-2 perchè ormai molto compromessi parodontalmente e irrecuperabili. Inserimento protesi mobile totale (dentiera ) fig.3 e attesa di circa tre mesi per la guarigione completa di osso e gengiva fig.4
Dopo un’attesa di tre mesi, nuovo intervento chirurgico con inserimento d’impianti e suture in una seduta fig.5-6. Dopo 7 giorni rimozione suture e rinserimento protesi provvisoria mobile ( dentiera ) mediante una ribasatura di pasta morbida bianca fig.7 per favorire la guarigione dei tessuti gengivali fig. 8 . Circa 20 giorni dopo i tessuti gengivali sono completamente guariti con gli impianti sommersi fig. 8. (per tutta l’attesa dell’osteointegrazione il paziente rimane con la protesi mobile)
Dopo 5 mesi d’attesa si passa alla fase di riapertura delle gengive per favorire l’esposizione degli impianti e il loro utilizzo per la protesizzazione fissa provvisoria fig.9-10
Sette giorni dopo l’inserimento delle viti di guarigione fig.10 si passa all’inserimento dei provvisori che resteranno fissi per circa 2 mesi fig.11-12. Questi provvisori facilitano la programmazione per la realizzazione dei definitivi e guidano la crescita della gengiva fig.13 in modo corretto intorno ai denti per avere un effetto estetico migliore.
Successivamente si preparano i monconi fresati con strutture in lega aurea fig.14-15, si passa alla ceramizzazione delle strutture, quindi rifinitura, lucidatura e inserimento in bocca delle corone ormai pronte e definitive fig.17-18-19.
Questa terapia implanto protesica obsoleta si conclude con successo dopo circa un anno e due mesi con l’utilizzo di tre tipi di chirurgie in tempi diversi ( 1-estrazioni denti, 2-inserimento impianti, 3-riapertura delle gengive per esposizione impianti) e tre tipi di protesizzazioni (prima protesi mobile, dopo protesi fissa provvisoria e alla fine protesi fissa definitiva). Terapia lunga e sofferta…
SVANTAGGI: Tempi di esecuzione molto lunghi, disagi per il paziente sottoposto a più interventi, costi elevati per il tipo di materiale e per le lunghe lavorazioni sia odontotecniche che odontoiatriche.
NUOVA METODICA: CARICO IMMEDIATO
(tutto in un giorno)
A questa metodica classica Branemark (eseguita in 3 tempi chirurgici) attualmente ancora valida e sicura (ma con diversi svantaggi) si aggiunge oggi una nuova tecnica implantare definita “carico immediato” (eseguita in un solo tempo chirurgico) con apposizione di protesi fissa nell’arco delle 24 ore dall’inserimento dell’impianto.
Il promotore di questa tecnica, diventata molto popolare in questo ultimo decennio, è un dentista portoghese di Lisbona, il dr. Paulo Malò, che ha ripreso dei concetti di chirurgia implantare sviluppati negli anni 90′
che suggerivano la possibilità di evitare interventi complessi ed invasivi, quali gli innesti ossei o gli innalzamenti di seno mascellare, inclinando gli impianti in modo da ancorarli in modo particolarmente stabile nell’osso residuo del paziente.
Grazie agli studi del Dr. Paulo Malò nella Malò Clinic di Lisbona ed all’investimento economico della grande società produttrice di impianti dentali (Nobel Biocare) questa metodica viene eseguita e presentata al mondo nel 2003. In Italia il primo intervento con la tecnica di Malò è stato eseguito nel 2004.
Il dott. Malò propone, con la sua tecnica, l’utilizzo di soli quattro impianti (da ciò il famoso nome “all on 4”) che per la loro lunghezza ed inclinazione nell’osso assicurano in tempo immediato la possibilità di sostenere arcate di denti parziali o totali.
Nel nostro Centro di Implantologia Dentale abbiamo importato questa tecnica, ormai così consolidata che riporta consensi positivi a livello mondiale, personalizzandola con l’aggiunta di due impianti nell’arcata superiore (realizzando una arcata dentaria di 12 denti sostenuta da 6 impianti)
e un impianto nell’arcata inferiore (realizzando una arcata dentaria di 12 denti sostenuta da 5 impianti).
Nel nostro Centro abbiamo scelto di utilizzare un numero superiore di impianti rispetto alla tecnica di Malò in modo da assicurare nel tempo una maggiore affidabilità e durata degli impianti così sottoposti ad un carico masticatorio di 12 denti (come nostro protocollo testato). La personalizzazione della tecnica è stata eseguita a diversi livelli, che vanno dalla progettazione tecnologica dell’intervento, al controllo totale della sintomatologia intra e post operatoria, alla guida alimentare post chirurgica e alla educazione del paziente alle nuove tecniche di igiene orale.
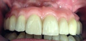
Un’arcata dentaria di 12 denti su impianti in 8 ore!
L’applicazione di questa nuova metodica implantare, l’inserimento di soluzioni tecnologiche personalizzate e l’utilizzo di materiali innovativi certificati ci permettono nell’arco di 8 ore di effettuare il nostro intervento implantoprotesico (denominato dal dott. Parravano ”Tutto in un giorno”) che prevede l’estrazione dei denti malati, l’inserimento di 5-6 impianti e l’apposizione di un’intera arcata dentaria con protesi fissa! (12 denti).
Clicca su quella che ti interessa per saperne di più !
A) CONTROLLO TOTALE DELLA SINTOMATOLOGIA DOLOROSA INTRA E POST OPERATORIA
Attraverso l’introduzione della figura dell’anestesista si effettua una sedazione cosciente endovenosa oltre alla normale anestesia locale iniettata.

La sedazione cosciente endovenosa permette di somministrare dei farmaci sedativi in modo da modulare lo stato di coscienza, eliminando totalmente ansia, stress, paura, sensazione del tempo e ricordo dell’intervento.

Il paziente è sedato, monitorizzato, totalmente rilassato, dorme per il sonno indotto, se superficializzato può collaborare con il chirurgo, non viene intubato come in ospedale, mantiene i riflessi della respirazione, reagisce agli stimoli esterni di alta intensità e non conserva il ricordo delle manovre odontoiatriche. Riprende completa coscienza dopo 2-3 ore (tempo dell’intervento) e non si rende conto inizialmente neanche di quello che è successo!

Oltre il controllo della sintomatologia intraoperatoria è stata prestata molta attenzione anche al controllo della sintomatologia post operatoria immediata e dei giorni successivi Attraverso l’utilizzo di un protocollo farmacologico testato, viene assicurata la massima riduzione del dolore spontaneo quasi assente, sia durante la giornata dell’intervento che nei giorni successivi.

Un lieve edema accompagnato da eventuali ecchimosi sul viso, possono essere considerati gli unici effetti collaterali spiacevoli. Il paziente può avere la gioia di uscire di casa e mantenere rapporti sociali fin dal giorno successivo!

B) RECENTI FORME ANATOMICHE PIU' IDONEE DELL'IMPIANTO
Recenti forme anatomiche più idonee e ritentive dell’impianto favoriscono una buona stabilità meccanica nell’osso chiamata “stabilità primaria”

20
Questi impianti possono essere subito inseriti nell’osso o negli alveoli post-estrazione (dei denti irrecuperabili) e stabilizzati all’interno, senza la necessità di attendere i normali tempi di guarigione dei tessuti molli (gengiva 15 giorni circa) e tessuti duri (osso 3-4 mesi) come invece avviene per gli impianti endossei (di tipo classico), nelle consuete metodiche di implantologia. fig.21

21
C) AUMENTO DELLA LUNGHEZZA DEGLI IMPIANTI E IL LORO INSERIMENTO IN POSIZIONE INCLINATA RISPETTO ALLA CRESTA OSSEA.
“TECNICA INNOVATIVA DEGLI IMPIANTI ANGOLATI”

L’intervento viene effettuato con impianti molto più lunghi di quelli usati dalla precedente metodica perchè vengono applicati in posizione obliqua rispetto alla cresta ossea favorendo un migliore sfruttamento della stessa anche con ridotta presenza di osso e garantendo maggiore stabilità.

Inoltre la posizione obliqua permette di raggiungere dei punti di appoggio posteriori per sostenere i denti, senza andare ad interferire con nessuna struttura anatomica pericolosa, come ad es. nervo mandibolare o seno mascellare riducendo rischi e aumentando le potenzialità risolutive. Con questa tecnica è possibile raggiungere facilmente degli obiettivi che con l’utilizzo della metodica classica sarebbe impossibile.

LA NUOVA TECNICA IMPLANTARE CI PERMETTE DI TRATTARE CASI UN TEMPO IMPOSSIBILI !!
I pazienti con ridotta presenza di osso e di conseguenza poca stabilità degli impianti che vengono esclusi dall’implantologia classica, per l’implantologia a carico immediato invece vengono considerati idonei perchè anche con poco osso presente si riesce ad avere la possibilità di una immediata stabilità e protesizzazione degli impianti. Di conseguenza, l’utilizzo di innesti ossei è fortemente ridotto, quindi minori rischi, disagi fisici ed economici per il paziente.
D) NUOVI MATERIALI USATI PER LA PROTESIZZAZIONE IMMEDIATA PROVVISORIA.
Questa metodica a carico immediato risulta più semplice e più precisa della classica grazie all’utilizzo di materiali di nuova tecnologia sia per la realizzazione di armature protesiche (scheletro delle protesi che sostiene i denti artificiali) che per i materiali da rivestimento estetici (si utilizzano per rivestire denti e gengive artificiali).
MATERIALI PER ARMATURE PROTESICHE PROVVISORIERiguardo i materiali per armature va al primo posto il PEEK (versatile biomateriale polimerico) che presenta modulo di elasticità come la corticale ossea, straordinaria resistenza e flessibilità, ottima adesione con i compositi, contrazione minima. La sua proprietà mimetica lo fa preferire ai metalli tradizionali. fig. 22-23 Esso può essere rinforzato con le fibre di carbonio. fig.24

Anche questi materiali come le fibre di carbonio rivestite di opaco bianco fig.24 e le fibre di vetro fig.25 vengono considerati eccellenti per le realizzazioni di armature, perché offrono al manufatto una buona resistenza e ottima estetica.

MATERIALI DA RIVESTIMENTO ESTETICI UTILIZZATI ANCHE IN PROTESI PROVVISORIA
Fra i materiali di rivestimento più innovativi, vi sono i compositi di nuova generazione fig.26 (facile lavorazione, fotoindurenti, micro riempitivi, bassa contrazione, ottima estetica, facile riparazione e bassi nei costi) che primeggiano per le realizzazioni di protesi fisse e mobili (soprattutto Toronto Bridge) su impianti, fig. 27

Altro materiale innovativo degno di rilievo largamente utilizzato nel nostro Centro per la realizzazione di protesi fisse provvisorie su impianti è il polimetilmetacrilato (in forma abbreviata PMMA), una materia plastica formata da polimeri del metacrilato di metile che ha una altissima resistenza al carico masticatorio, resistenza alla rottura molto elevata, resistente alla placca e priva di qualsiasi sostanza nociva inserita.
Questo materiale per la sua notevole resistenza viene usato preferibilmente senza l’ausilio del materiale per armature semplificando notevolmente le fasi di protesizzazione del carico immediato.

Questa particolare resina acrilica viene lavorata dalla forma solida fig.28 (a blocchi circolari) con una fresa/robot fig.29 che lavora per sottrazione di materiale e nel giro di circa 2-3 ore riesce a riprodurre dei denti provvisori mantenendo estrema precisione ed estetica. fig. 30-31

Inoltre grazie alla matrice resinosa altamente omogenea contenuta, dopo una accurata rifinitura e lucidatura manuale si ottiene un risultato estetico molto naturale con elevata traslucenza. fig. 32

E) UTILIZZO DELLA TECNOLOGIA CAD-CAM
L’utilizzo della tecnologia Cad – Cam (scanner 3d o camera intraorale , software di elaborazione, macchina fresatrice di blocchi di materiale) amplifica al massimo la tecnologia per la lavorazione di tutti questi materiali innovativi con vantaggi di precisione, rapidità, affidabilità, estetica ed economicità.
Questa tecnologia si avvale di un sistema di rilevamento dati attraverso due vie: l’utilizzo di uno scanner che copia la forma di un modello in gesso, resina e\o lavorato in cera fig.30 realizzato precedentemente per mezzo di un’ impronta di tipo classica oppure con un rilevamento d’impronta di tipo digitale diretta fig.31 delle arcate dentarie. Questa impronta è presa con una camera- scanner intraorale specifica che trasferisce le sue informazioni in un file come avviene anche per lo scanner da laboratorio.
Questa tecnologia si avvale inoltre di un software fig. 32-33 che elabora i dati inviati o dallo scanner (nel caso della impronta classica) o dalla camera-scanner intraorale via internet (nel caso della impronta digitale) per la progettazione in 3D (tridimensionale) delle protesi in ceramica, zirconia, resina, composito ecc.

ed in ultimo i dati elaborati dal software in base alla nostra programmazione vengono inviati ad una fresa/robot fig.35-35 per la limatura dei blocchi protesici fig.36 che vengono lavorati per sottrazione di materiale nel giro di 2 – 3 ore circa mantenendo estrema precisione, affidabilità ed eccellente risultato fig.37
![]()
F) UTILIZZO DI NUOVI E PARTICOLARI MONCONI CHIAMATI M.U.A.

I monconi MUA per la loro particolare angolazione quando vengono inseriti sugli impianti riescono a raggiungere il parallelismo fra di loro, fig.39 anche se gli impianti sottostanti presentano angolazioni estreme nell’osso per evitare di entrare in contatto con zone anatomiche pericolose (nervi arterie muscoli ecc.) e per avere maggiore stabilità.

Con l’utilizzo dei MUA si raggiungono delle eccellenti condizioni di protesizzazione che sarebbero impossibili raggiungere nelle altre metodiche classiche con l’utilizzo dei vecchi monconi (che generano disparallelismo). Quest’ultimi non avrebbero permesso di raggiungere un perfetto parallelismo immediato, quindi facilità di un corretto inserimento della protesi fissa associata ad un ottima stabilità della stessa.

Altro grande vantaggio dell’utilizzo di questi monconi è la possibilità di stabilizzare la protesi con la sistematica a vite passante Fig.a (molto più agevole, sicura, duratura e non traumatizzante durante la rimozione della protesi dal dentista) rispetto alla vecchia sistematica a moncone cementato. Fig.b che causa spesso patologie perimplantari.

G) PROGETTAZIONE PER MEZZO DEL COMPUTER, CON LA RICOSTRUZIONE DIGITALE IN 3D DI ESAMI RADIOLOGICI E L’UTILIZZO DI MODELLI STEREOLITOGRAFICI.


Questa tecnologia ci permette di progettare e di stabilire a priori l’esatta posizione degli impianti da inserire, fig.45-46 evitare strutture anatomiche pericolose (nervi, arterie, muscoli ecc.) fig.46 di conoscere l’esatta morfologia dell’osso da utilizzare e le sue caratteristiche (densità trabecolatura ecc.);

inoltre ci consente di realizzare con precisione anche la protesi provvisoria immediata fig.47-48 prima dell’inserimento degli impianti. Questo manufatto così si adatterà perfettamente alla posizione dei monconi stabilita prima dell’intervento, in modo virtuale con il software 3D.

Da questo progetto virtuale eseguito sul computer è inoltre possibile realizzare (con l’utilizzo di una stampante 3D) un modello fisico (stereo-litografico) della mandibola o dell’osso mascellare riproducendo fedelmente tutti i dettagli anatomici. Su questo modello simuliamo le estrazioni dentali, le modifiche sull’osso

ed infine l’inserimento degli impianti valutando attentamente di non interferire con strutture anatomiche pericolose adiacenti. Tutto viene programmato e pianificato (misure e angolazioni impianti, innesti ossei, protesi provvisoria ecc.) PRIMA CHE VENGA RIPRODOTTO REALMENTE SULLA PERSONA CON L`INTERVENTO CHIRURGICO IMPLANTARE.

Questo procedimento che attraversa una ‘sì dettagliata fase di programmazione realizzata prima dell’intervento consente di ridurre del 90% il rischio di effetti collaterali e conseguenze impreviste assicurando la riuscita della terapia chirurgica.

Il giorno dell’intervento non bisogna pensare come procedere, ma solo trasferire meccanicamente sul paziente il progetto precedentemente realizzato sul modello anatomico, tutto con serenità, rapidità e sicurezza per la riuscita della terapia chirurgica, garantendo così il risultato.
H) UTILIZZO DI UNA DIMA CHIRURGICA PROGRAMMATA
L’utilizzo di una dima chirurgica programmata fig.50 e realizzata (come la protesi provvisoria) prima dell’intervento implantare. Questo valido supporto chirurgico (struttura in resina chiamata dima fissata temporaneamente sulla cresta edentula da impiantare) stabilisce con precisione la profondità e l’inclinazione programmata della fresa durante la perforazione di osso e gengiva, quindi anche la posizione dell’impianto favorendo grandi vantaggi : massima precisione di posizione, riduzione dei rischi di lesione (di zone anatomiche pericolose) e dei tempi d’intervento.

I) UTILIZZO DELLA TECNICA FLAPLESS SENZA L'USO DEL BISTURI E DEI PUNTI DI SUTURA.

L) L’UTILIZZO DELLA TECNICA INNOVATIVA DEGLI IMPIANTI PTERIGOIDEI.
Tecnica innovativa, efficace, rapida e risolutiva molto usata nel nostro Centro é quella degli “impianti pterigoidei

È preferibile ricorrere agli impianti pterigoidei quando la quantità di osso necessaria all’inserimento di un impianto nelle zone posteriori dell’arcata dentale superiore non sia sufficiente per poterlo stabilizzare.
La comune pratica chirurgica conosciuta ed adottata da molti professionisti in questo caso prevede un intervento chirurgico di innesto d’osso nel seno mascellare (detto rialzo del seno
che dopo tempi di guarigione molto lunghi circa 6-8 mesi permette la stabilizzazione e l’integrazione ossea dell’impianto per essere poi utilizzato come sostegno dei denti.

La tecnica dell’impianto pterigoideo (insieme a quella dell’impianto zigomatico) invece sostituisce radicalmente la precedente procedura chirurgica invasiva dell’innesto osseo.

L’impianto prende il nome “pterigoideo” dalla regione anatomica che lo accoglie. Esso viene inserito nella regione della tuberosità mascellare dietro i molari superiori

e con lunghezza di circa 18 mm raggiunge le lamine ossee dello sfenoide (molto resistenti che danno stabilità l’impianto) entrando in minima parte nella fossa pterigoidea (da cui prende il nome).

Nella radiografia si evidenzia una notevole riduzione dell’osso nelle aree in prossimità dei seni mascellari. Questa condizione viene risolta facilmente con l’applicazione degli impianti pterigoidei, che sostituisce in modo decisivo l’utilizzo della tecnica del “rialzo del seno mascellare” (la quale implica innesto osseo, lunghi tempi di attesa , maggiori complicanze e minor sicurezza di risultati).

La metodica degli impianti pterigoidei offre grandi vantaggi:
- Tempi rapidissimi di guarigione (pochi giorni) e di esecuzione (30 minuti)
- Intervento molto meno invasivo rispetto al rialzo del seno mascellare.
- Alta percentuale di successo rispetto al rialzo del seno mascellare
- L’ultimo e più importante vantaggio è quello che permette la protesizzazione immediata. Il paziente potrà uscire dall’ambulatorio nella stessa giornata con i denti fissi, senza attendere nessun tipo di ossificazione dell’innesto osseo effettuato nell’intervento sopra indicato (rialzo di seno).

M) L’UTILIZZO DELLA TECNICA INNOVATIVA DEGLI IMPIANTI ZIGOMATICI

Nell’arcata superiore, quando c’è scarsità di osso, al posto di tecniche rigenerative, complesse ed invasive, c’è la tecnica innovativa degli impianti zigomatici. Si tratta di impianti con lunghezza di 30 mm che possono arrivare fino a 60 mm. Vengono fissati (con l’ausilio di progettazioni eseguite sul computer e con modelli stereolitografici che riproducono lo scheletro osseo) in un osso strutturale del cranio (osso zigomatico), sfiorando la parete posteriore del seno mascellare.

La metodica zigomatica prevede l’inserimento di 2 – 4 impianti anteriori con tecnica di tipo angolato nell’area al di sotto del naso che di solito è ricca di osso e 2 – 4 impianti a livello posteriore di tipo zigomatico. Con 4 – 6 impianti sarà così possibile sostenere una protesi dentaria fissa nell’arco della stessa giornata senza aver ricorso a nessun innesto osseo. E’ però indispensabile che l’osso zigomatico sia di buona qualità, che sia presente una giusta quantità di osso anteriore sotto il naso e che il paziente sia sufficentemente motivato alla terapia.


- Tecnica degli impianti angolati
- Tecnica degli impianti pterigoidei
- Tecnica degli impianti zigomatici
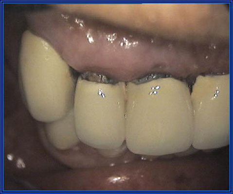
PROTESIZZAZIONE PROVVISORIA DOPO LA TERAPIA CHIRURGICA IMPLANTARE
(Tutto nella stessa giornata)L’utilizzo della protesi provvisoria programmata e realizzata precedentemente che calza alla perfezione con gli impianti inseriti, fa si’ che il paziente in poche ore possa modificare la propria bocca ed uscire dal Centro con nuovi denti fissi che garantiscono il ripristino delle funzioni masticatorie, delle condizioni estetiche e psicologiche. fig.53.

Dopo questa ottimale condizione di stabilità primaria degli impianti (stabilità meccanica dell’impianto nell’osso con l’immediata apposizione della protesi fissa nella stessa giornata) si attende sempre un periodo di osteointegrazione (4-6 mesi) che identifica la cosiddetta “stabilità secondaria o biologica”.



Non è fantascienza ma pura realtà riavere dei denti nuovi e fissi nell’arco di una giornata!
L’applicazione di questa metodica implantare è garantita dall’utilizzo di materiali innovativi certificati, tecniche protesiche, chirurgiche ed implantari collaudate e riconosciute nella letteratura medica odontoiatrica e dall’utilizzo di nuove soluzioni tecnologiche e terapeutiche che amplificano il successo della tecnica.
Inoltre le nostre metodiche innovative di implantologia sono frutto di una nostra lunga esperienza in questo campo favorita anche dalla altissima casistica di interventi di chirurgia implantare a carico immediato (circa uno o due al giorno) che vantiamo di avere.
Ecco alcuni casi clinici eseguiti dal dott. Marco Parravano :
Hai altre domande?







